
2025년 9월 25일 밤 9시 5분경, 원로 코미디언 전유성 씨가 전북대학교 병원에서 별세했다는 보도가 나왔습니다. 향년 76세였고, 고인은 최근 폐기흉 증세 악화로 입원 치료를 받고 있었던 것으로 알려져 있어요.
그의 죽음은 많은 이들에게 충격을 주었고, 동시에 “폐기흉이란 무엇인가?” 하는 질문들이 무수히 쏟아졌죠. 오늘은
- 전유성 씨가 코미디언으로 남긴 발자취
- 폐기흉과 기흉의 의학적 의미
- 통계와 위험 요인
- 고령자에게 기흉이 특히 위험한 이유
전유성 사례가 우리에게 주는 시사점
이렇게 구성해서 깊이 있게 다뤄보겠습니다.



👉nate연애: 전유성 사망, 25일 밤 9시 5분께 전북대병원…코미디 거목
[단독]전유성 사망, 25일 밤 9시 5분께 전북대병원…코미디 거목 : 네이트 연예
한눈에 보는 오늘 : 연예가 화제 - 뉴스 : 코미디언협회 "너무나 안타깝다, 장례는 협회장으로 진행"장례식장 현재 미정, 서울의 서너 곳 대학병원과 협의 중코미디언 전유성이 25일 오후 9시 5분
news.nate.com
목차
전유성, 코미디계의 전설: 남긴 작품과 영향
전유성 씨는 1949년 1월 출생으로, 방송 작가로 시작해 코미디언으로 전향한 뒤 한국 코미디계의 한 축을 담당해온 인물이었어요.
그의 대표작과 역할은 다음과 같습니다.
- TBC 시절 “전유성의 쑈쑈쑈” 같은 프로그램으로 이름을 알렸고
- KBS의 ‘유머 1번지’, ‘쇼 비디오 자키’ 등 여러 코미디 프로그램에서 활약
- 2001년에는 ‘전유성의 코미디시장’을 창단하며 후배 개그맨 양성에도 힘씀
- 코미디 무대뿐 아니라 라디오, 방송, 공연 기획 등 다양한 영역에서 활동하면서 개그 생태계의 든든한 허리 역할
그가 떠난 뒤, 많은 동료와 팬들이 “전유성의 유머와 인간미는 잊히지 않을 것”이라는 추모 메시지를 남기고 있어요.
이런 배경이 있으니, 그의 사망 소식이 단순한 연예인 비보를 넘어 코미디계 전체의 상실처럼 느껴지는 거겠죠.
👉TV리포트: 故 전유성, 생전 마지막 모습… 너무 말라 울컥 '애도 물결'
故 전유성, 생전 마지막 모습… 너무 말라 울컥 '애도 물결'
[TV리포트=김연주 기자] 원로 코미디언 전유성(76)이 끝내 사망했다. 바로 어제 산소호흡기에 의지해 자발적 호흡이 어려운 위독한 상황이라는 비보가 퍼지며 연예계 수많은 후배들의 걱정을 샀
v.daum.net
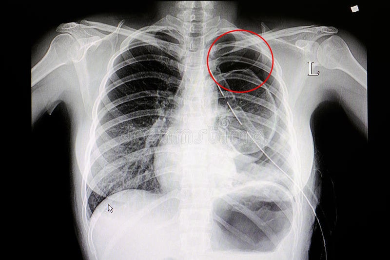
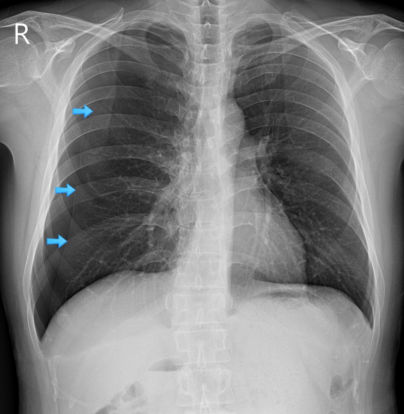
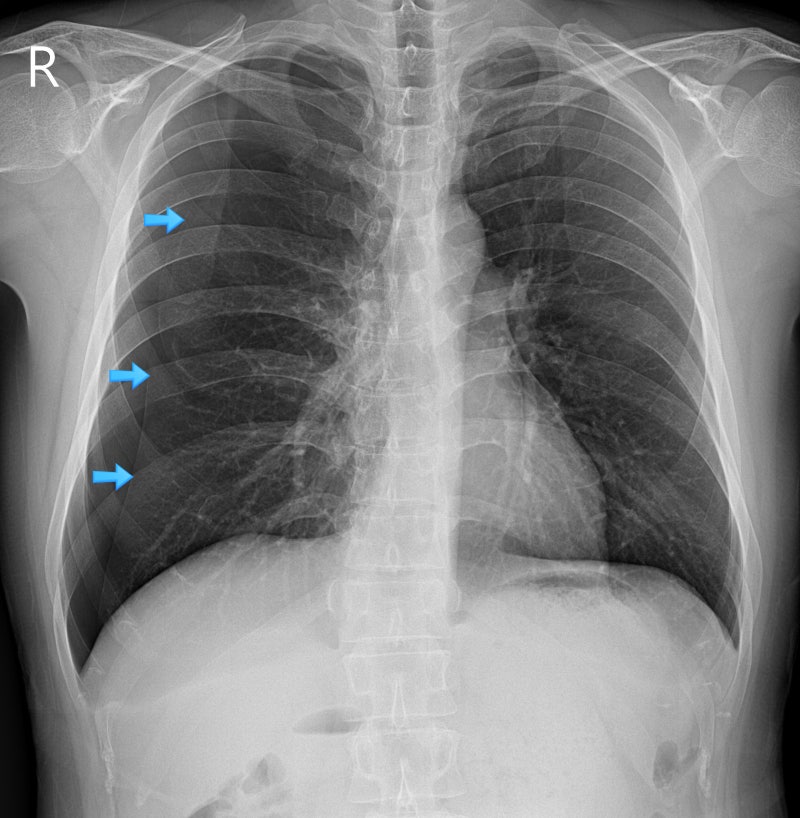
폐기흉 vs 기흉: 의료 용어 정리
전유성 씨 사망 보도에서는 “폐기흉 증세 악화”라는 표현이 많이 등장했어요. 보통 “폐기흉”보다는 “기흉”이라는 표현이 의학적으로 더 일반적이고, 흉막강 내 공기가 유입되는 현상을 의미합니다.
✅ 기흉(폐기흉)의 정의
- 폐와 흉막 사이 공간(흉막강)에 공기가 유입되어 폐가 압박당해 팽창하지 못하는 상태
- 호흡곤란, 흉통 등을 유발할 수 있고, 심한 경우 응급 상태로 발전
- 자연발생형(자발성 기흉)과 외상성 기흉으로 나눌 수 있음








🩺 기흉(폐기흉)의 주요 원인
- 자연 발생(자발성 기흉)
- 특별한 외상이 없어도 생김.
- 키가 크고 마른 체형의 젊은 남성에게 흔히 발생.
- 흡연이 가장 큰 위험 인자 중 하나 (비흡연자보다 20배 이상 발생 위험).
- 폐기종, 만성폐쇄성폐질환(COPD) 같은 기저 폐질환이 있는 고령자도 발생률 ↑
- 외상성 기흉
- 교통사고, 추락, 날카로운 외상, 의료 시술(예: 중심정맥관 삽입, 폐 생검) 중 합병증으로 발생.
- 2차성 기흉
- 폐암, 결핵, 폐섬유증 같은 기존 폐질환으로 약해진 폐에서 생김.
⚠️ 대표 증상
- 갑작스러운 가슴 통증 (날카롭고 찌르는 듯)
- 호흡곤란 (특히 활동 시 심해짐)
- 마른 기침, 어지럼증, 청색증(입술·손끝 파래짐)
- 기흉이 심하거나 긴장성으로 진행되면 혈압 저하, 의식 저하, 응급 상황으로 발전
✅ 통계 & 재발률
- 자연기흉 환자의 약 40~50%는 1~2년 내 재발 가능성이 있다는 통계가 있어요.
- 한 번 재발한 환자는 재차 재발 확률이 80% 이상에 이른다는 보고도 있고요.
- 국내 자료 중 “재발성 기흉 고찰 (52례)” 연구에서는 동반 폐 질환이 있었던 환자의 40%, 없었던 경우의 50%가 재발했다는 수치도 제시돼요.
- 언론 보도에서도 “기흉은 재발률이 매우 높다. 일반적으로 50%의 재발률을 보이며, 한번 재발하면 다시 생길 확률이 점점 높아진다”는 인용이 있어요.
이런 수치들은 기흉이 단 한 번의 문제가 아니라 반복 가능성 높은 질환 이라는 사실을 보여줍니다.
👉 개그계 대부 앗아간 '폐기흉'…키크고 마르면 잘 걸린다?
개그계 대부 앗아간 '폐기흉'…키크고 마르면 잘 걸린다? : 네이트 뉴스
한눈에 보는 오늘 : 사회 - 뉴스 : [서울=뉴시스] 26일 의료 인공지능(AI) 뷰노에 따르면 뷰노 메드 체스트 엑스레이는 흉부 엑스레이 영상을 분석해 주요 5개 소견(결절·경화·간질성 음영·흉막 삼
news.nate.com
고령자에게 더 위험한 이유
전유성 씨는 76세라는 고령이었고, 고령자는 기흉 발생이나 악화 시 더 위험한 조건이 많아요:
- 폐 조직 탄력 저하 → 공기 누출이 멈추기 어렵다
- 기존 폐 질환(만성 폐쇄성 폐질환, 폐기종 등) 보유 가능성
- 회복력 저하 및 합병증 위험 상승
- 감염, 폐렴 등의 추가 부담
전유성 보도에서는 “폐기흉 증세 악화”라는 표현과 함께, 최근 건강 상태가 좋지 않았다는 보도도 나와 있어요.
치료 방식과 예후
치료 방법
관찰 + 산소 치료
- 누출이 적고 증상이 경미할 경우 휴식과 산소 투여만으로 회복 유도
흉관 삽입술
- 흉막강 내 공기를 배출하고 폐를 펴주는 표준 치료
흉막 유착술 / 화학적 유착술
- 누출이 지속되는 경우 흉막에 약제를 주입해 유착 유도
수술 (흉강경 수술 등)
- 재발 고위험군, 누출 지속 시 절제 및 봉합술 등


예후 및 유의점
- 재발 가능성이 높아 한 번 치료만으로 끝나지 않을 수 있음
- 나이·폐 상태·치료 방식에 따라 회복 속도 및 성공률 차이 큼
- 수술 또는 유착술 적용 시 재발률을 낮출 수 있지만 모든 환자에게 적용하기엔 부담이 있을 수 있음
자주 묻는 질문 (FAQ)
Q. 전유성 씨가 정확히 언제 돌아가셨나요?
→ 보도에 따르면 2025년 9월 25일 밤 9시 5분경 전북대병원에서 별세한 것으로 알려졌습니다. [[13]] [[6]]
Q. 폐기흉과 기흉은 같은 뜻인가요?
→ 일반적으로 같다 봐도 무방해요. 폐와 흉막 사이 공간에 공기가 차는 상태를 뜻합니다.
Q. 기흉은 완치 가능한가요?
→ 경미한 경우 완전히 회복할 수 있지만, 재발 가능성이 높아 특히 고령자는 조심해야 합니다.
Q. 어떻게 예방할 수 있나요?
→ 금연, 정기 폐 건강검사, 과격한 운동 피하기 등이 도움이 될 수 있습니다.
전유성 사례가 주는 시사점
전유성 씨의 죽음은 단순 개인사의 비극을 넘어 우리 사회에 몇 가지 질문을 던집니다:
- 고령자의 폐 건강 관리 강화 필요
- 호흡계 증상 발견 시 조기 진단과 치료 체계
- 의료 시스템에서 응급성과 연속 관리를 잇는 구조
- 연예·방송계 인물들의 건강 부담과 대비책 필요
우리가 기억할 건, 웃음을 전하던 전유성 씨가 결국 마지막엔 ‘호흡’의 문제에 직면했다는 사실이에요.
전유성 씨 부디 그 곳에선 아픔 없이 행복하시길 바랄게요. 삼가 고인의 명복을 빕니다.
👉 "천국에서 다시 만나요"…전유성 별세에 연예계 추모 물결
“천국에서 다시 만나요”…전유성 별세에 연예계 추모 물결
천국에서 다시 만나요전유성 별세에 연예계 추모 물결 K-컬처
www.chosun.com
